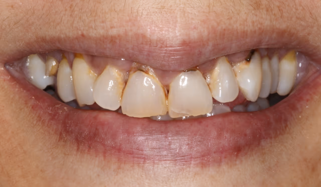
Smiles That Speak for Themselves —
Smile gallery

A Preview of What’s Possible
We can't wait to meet you!
Call 615-896-1330 or request an appointment online to set up your first visit. We’ll be in touch soon.

Call 615-896-1330 or request an appointment online to set up your first visit. We’ll be in touch soon.